Doctors watching for more cases after mysterious cluster of brain infections strikes kids in southern Nevada
- BSIP/Universal Images Group/Getty Images
- Updated
- 0


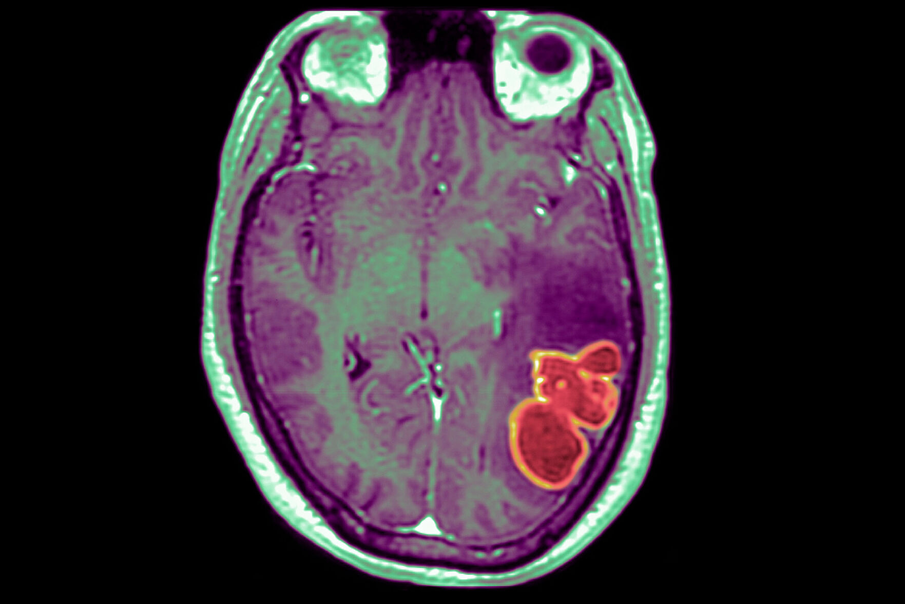
The CDC is investigating a cluster of rare and serious brain abscesses in kids in and around Las Vegas.
BSIP/Universal Images Group/Getty ImagesTags
As featured on
Disease detectives with the US Centers for Disease Control and Prevention are investigating …
Weather Alert
...COLD WEATHER ADVISORY REMAINS IN EFFECT FROM 2 AM TO 8 AM CST WEDNESDAY... * WHAT...Very cold wind chills as low as 22 expected. * WHERE...Portions of south central and southwest Louisiana and southeast Texas. * WHEN...From 2 AM to 8 AM CST Wednesday. * IMPACTS...Frostbite and hypothermia will occur if unprotected skin is exposed to these temperatures. PRECAUTIONARY/PREPAREDNESS ACTIONS... Use caution while traveling outside. Wear appropriate clothing, a hat, and gloves. Keep pets indoors as much as possible. Make frequent checks on older family, friends, and neighbors. Ensure portable heaters are used correctly. Do not use generators or grills inside. &&
Currently in Lafayette
34°F
Fair
45°F / 30°F
8 PM
34°F
9 PM
33°F
10 PM
33°F
11 PM
34°F
12 AM
33°F
© Copyright 2025 Allen Media Broadcasting, 1500 Eraste Landry Rd. Lafayette, LA
| Terms of Use
| Privacy Policy